이미지=구글
겨울철 기온이 떨어지면 발뒤꿈치 통증을 호소하는 이들이 크게 늘어난다. 특히 아침에 일어나 첫 발을 디딜 때 “발바닥이 찢어지는 듯하다”고 표현하는 경우가 많은데, 이는 족저근막염 초기 증상으로 잘 알려져 있다. 계단을 내려가거나 오랜 시간 서 있을 때 통증이 갑자기 심해지는 것도 특징이다. 전문가들은 이를 방치할 경우 만성 통증으로 이어질 가능성이 높아 조기 관리가 필요하다고 강조한다.
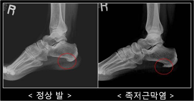
족저근막은 발뒤꿈치뼈에서 발가락 기저부까지 이어지는 강한 섬유 조직으로, 발의 아치를 유지하고 보행 시 충격을 흡수하는 핵심 구조다. 장시간 서 있거나 과도하게 걷는 생활이 반복되면 이 조직에 미세 손상이 쌓여 염증이 발생한다. 최근에는 스마트폰과 PC 사용 증가로 종아리와 아킬레스를 이루는 근육·건이 짧아지면서 발의 하중 분산이 어려워지고, 이로 인해 증상이 악화되는 사례도 보고되고 있다.
한의학에서는 족저근막염을 단순히 ‘발의 염증’으로 보지 않는다. 발바닥과 종아리 부위의 근막이 굳어 순환이 저하되면 염증이 반복되는 현상을 ‘기혈 울체’ 또는 ‘경근의 문제’로 해석한다. 침·약침·부항을 통해 순환을 개선하고 발목과 종아리의 긴장을 풀어주는 치료가 활용되며, 여기에 추나 등 정렬 교정을 더하면 골반과 고관절을 통해 내려오는 하중이 균형을 이루어 재발 위험을 줄일 수 있다는 설명이다.
환자별 발 구조에 맞춘 인솔 제작 역시 통증 완화에 도움이 된다. 평발이나 요족처럼 아치 변형이 있는 경우 적절한 인솔만으로도 증상이 크게 나아질 수 있어, 발뿐 아니라 전신의 균형을 함께 살피는 접근이 중요하다는 지적이 나온다.
한의사는 “족저근막염은 같은 부위에 통증을 느낀다고 해서 원인이 모두 동일한 것은 아니다”라며 “신발 착용 습관, 체형, 하체 근육의 유연성 등 개인적 특성이 큰 영향을 미친다”고 말했다. 이어 “발바닥만의 문제가 아닌 전신의 균형과 연결된 질환이기 때문에 생활습관과 체형, 보행 습관을 종합적으로 평가하는 것이 빠른 회복에 핵심”이라고 조언했다.
바이씨즈, 실리프팅 브랜드 ‘자보실’로 리뉴얼… 볼륨실 ‘자보쇼츠’ 출시
메디컬 뷰티 테크기업 '바이씨즈'가 실리프팅 브랜드 ‘자보핏(ZAVOFIT)’을 ‘자보실(ZAVO THREAD)’로 리뉴얼하고, 특허받은 D-MESH(더블메시) 구조 기반의 차세대 볼륨실 ‘자보쇼츠(ZAVO SHORTS)’를 새롭게 선보였다. 이번 리브랜딩과 신제품 출시는 바이씨즈의 프리미엄 실리프팅 라인업을 한층 강화하는 계기가 될 것으..
정덕영 클릭트 대표, 독자 기술인 XR 스트리밍 지연 보정 기술로 ‘대통령 표창’ 수상
클릭트는 정덕영 클릭트 대표가 산업통상자원부 국가기술표준원이 13일 주최한 ‘2023 신기술실용화 촉진대회’에서 ‘XR을 위한 화면 지연 보정을 위한 MTP Latency 개선기술’에 대한 높은 기술력과 뛰어난 공로로 기술개발과 제품화, 관련 산업기술진흥에 기여한 공을 인정받아 산업기술진흥유공 신기술실용화 부문 대통령 표창.
푸마가 성사시킨 두 천재의 만남, 망누스 칼슨과 펩 과르디올라
글로벌 스포츠 기업 푸마(PUMA)가 맨체스터 시티 풋볼 클럽(Manchester City Football Club), 체스닷컴(Chess.com)과 함께 두 천재: 축구계의 펩 과르디올라(Pep Guardiola)와 체스계의 매그너스 칼슨(Magnus Carlsen)의 독점 대담을 론칭했다. 이 푸마 홍보대사들은 자신의 커리어에서 잊을 수 없는 순간에 대해 이야기하고, 두 스포츠의 전략과 전술을 자세히 들려...